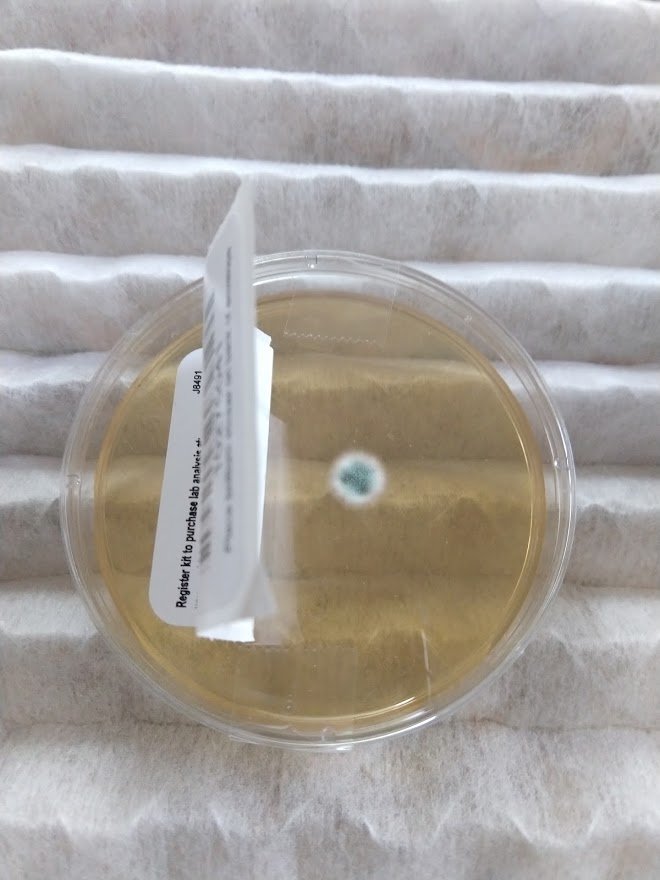
Scott M Posted June 28, 2020 Report Posted June 28, 2020 Did a home mold test with Mold Armor. I did one petri dish in my kitchen with the a/c blowing on it for 10 min and did the same thing in my bedroom. I incubated it for 96 hours and got something from the kitchen, but not the bedroom. (See images). Is it mold, mildew, or a fungus? And, most of all, should I be worried? Thanks. Looking forward to your answer. Scott
Marc Posted June 28, 2020 Report Posted June 28, 2020 Likely is, but what's more common is to get a 'rainbow' of various mold growing, because mold spores normally inhabit the air we breathe, regardless of where you are, at any time of day or night. You must have exceptional filtration in your house. Dang! I'm jealous. Mold, mildew and fungi are all names for pretty much the same thing. There would no trees on the planet without fungi. Fungi came before trees, before us. Go back to sleep.
Scott M Posted June 28, 2020 Author Report Posted June 28, 2020 Good Morning Marc. Thanks for responding. Funny, you said I probably have exceptional filtration in my home. That, I do not have. I'm dealing with a musty/mildew smell in home for years now. Well, at least I think it is. Example... When I pack fresh clean clothes for a trip and as soon as I open my suitcase, I get this musty/mildew smell. I've tried everything. I just had a mold inspector here testing my home and found mold in the closet behind the water heater thats located underneath my AC unit located in a small closet. I live in a condo, East coast / S. Florida. Had that fixed and walls replaced just two days ago. I did the mold test a few days before they removed part of the walls. I was thinking on getting the Halo Reme LED acn Home In-Duct Air Purifier. I have to try anything & everything. Scott
Marc Posted June 28, 2020 Report Posted June 28, 2020 (edited) Get a hygrometer to augment the thermometer that's in your thermostat. Monitor the indoor humidity. Mold spores love elevated humidity. ACs in borderline condition may hold the temperature just fine but don't remove enough moisture. They're supposed to do both. Very common issue. This time of year, your AC, and mine too (coastal Louisiana), may not run much but the moisture never stops migrating from outside to inside. Edited June 28, 2020 by Marc
Jim Katen Posted June 28, 2020 Report Posted June 28, 2020 Good grief! You live in S Florida - Mold is in every lungful of air you breathe. It's on your clothes, on your skin, in your nose, and on your eyeballs. Every day. All the time. Every time I travel to Florida, the moment I get off the plane, I hit a wall of humid, moldy air. It's like walking in warm Jello. And you know what? It's ok. Millions of people live with it every day of their lives. We evolved with it. If that little spot of mold is all that you got on your test, you're miles ahead of nearly every other Floridian. Before your next trip, open your suitcase, and set it outside in the sun for a few hours. It'll smell better.
Scott M Posted June 29, 2020 Author Report Posted June 29, 2020 @Marc - the humidity in my home runs between 43% - 47%. Today it's at 45% @Jim - I've tried putting the suitcase in the sun, does not work for me. Its already in clothes.
Marc Posted June 29, 2020 Report Posted June 29, 2020 (edited) Then you've either a source of elevated moisture/water/condensation or an issue with lack of ventilation. I've seen many cases of mold growth in closets that bordered an exterior wall and were largely never opened. Moisture would migrate through the exterior wall and the closet space was otherwise sealed well enough for that moisture to build up. Edited June 29, 2020 by Marc
Jim Katen Posted June 30, 2020 Report Posted June 30, 2020 13 hours ago, Scott M said: @Marc - the humidity in my home runs between 43% - 47%. Today it's at 45% @Jim - I've tried putting the suitcase in the sun, does not work for me. Its already in clothes. I guess I don't understand the issue.: You live in Florida and you don't necessarily smell mold in your house. You get ready to go on a trip, so you pull out your suitcase. Does it smell of mold then? You pack your suitcase. Do the clothes smell like mold then? You arrive at your destination, open your suitcase, and smell mold. Is this right?
Scott M Posted June 30, 2020 Author Report Posted June 30, 2020 (edited) @Marc - You said, " lack of ventilation" that maybe my problem. The image attached is my closet doors. The doors are hallow. I think the doors are made out of pine. They're not your typical Florida louvered wood plantation doors. I should probably look into changing my doors to louvered doors. @Jim - Currently, the clothes in my closet don't seem to have an odor, or I'm just used to it and it gets stronger once they've been packed in a suitcase. The suitcase Does Not have an odor. I've tried the suitcase in the sun. I've even washed & drying my clothes before a trip and still a musty smell. I have a new W/D, I use laundry detergent with no dyes. I dry my clothes with several fabric sheets. I clean my machine out once a month with clear vinegar. You name it, I do it & I've tried it. I think Marc is right about the lack of ventilation. A week ago I was told my a mold specialist to keep my A/C on 76-77 during the day and at night leave it on 72-74. I personally like it on 72 because it helps me sleep better. Before I was leaving it on 74 during the day & 72 at night. Marc & Jim - I really do APPRECIATE all your help! Edited June 30, 2020 by Scott M
Tom Raymond Posted July 1, 2020 Report Posted July 1, 2020 Stop messing with set backs. You're fluctuating the humidity far more than the temperature. Pick a comfortable temperature and leave it there.
Jim Katen Posted July 1, 2020 Report Posted July 1, 2020 15 hours ago, Scott M said: @Jim - Currently, the clothes in my closet don't seem to have an odor, or I'm just used to it and it gets stronger once they've been packed in a suitcase. The suitcase Does Not have an odor. I've tried the suitcase in the sun. I've even washed & drying my clothes before a trip and still a musty smell. I have a new W/D, I use laundry detergent with no dyes. I dry my clothes with several fabric sheets. I clean my machine out once a month with clear vinegar. You name it, I do it & I've tried it. I think Marc is right about the lack of ventilation. Um, it's not the clothes. It's you. You're nose blind while you're in Florida. By the way, I live in Oregon, and I've had people visit from Denver who told me that all of Oregon smells of mold. I don't smell it because I'm used to it.
Jim Baird Posted July 1, 2020 Report Posted July 1, 2020 I visited the Pacific Northwest and Olympia and loved it but everything was a little damp. The OP should move to Arizona or to central Mexico.
Recommended Posts
Create an account or sign in to comment
You need to be a member in order to leave a comment
Create an account
Sign up for a new account in our community. It's easy!
Register a new accountSign in
Already have an account? Sign in here.
Sign In Now